洛阳曦美义齿_洛阳义齿_洛阳曦美义齿有限公司

洛阳曦美义齿有限公司

咨询电话:400-084-1345

固话电话:0379-60203857

                 0379-60203856 

                 0379-62267693

技术咨询:0379-60203856  

                 0379-60850052

业务咨询

 张 经 理: 13949275599 

                 13526978955

人事咨询

 耿 先 生:  18538841345

网 址:www.ximeiyichi.cn

地 址:洛阳市洛龙区科技大道中德产业园一期21号101

当前位置:网站首页 >>  公司新闻

为什么口扫件总是边缘不密合、不到位呢?

作者:曦美   发表时间:2025-5-13 09:46:16  点击次数:【2217】

打印
字体【
视力保护色

为什么口扫件总是边缘不密合、不到位呢?

我们需要一个合格的口扫数据!!

我们需要一个合格的口扫数据!!

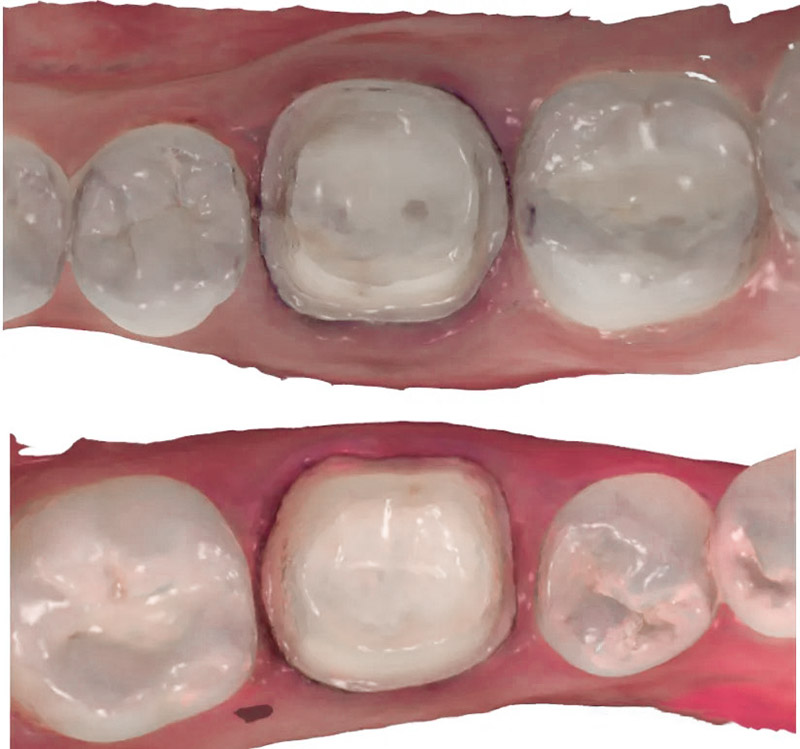
那么,一个合格的边缘数据是什么样的?

充分暴露的边缘:

延续完整的肩台:



现在,咱们来看看口扫过程中边缘线的常见问题及解决方案吧!

1、边缘位置被牙龈覆盖


01存在问题

局部肩台/边缘被牙龈覆盖;

02问题影响

影响技师对边缘终止线的准确判断,从而影响修复体的边缘密合度;

03解决方案

齐龈或龈下肩台需充分排龈,确保边缘清晰可见;

2、血液及唾液影响

01存在问题

扫描过程中遇到血液反射或唾液折射导致边缘扫描不准确;

02问题影响

影响技师对边缘终止线的准确判断,从而影响修复体的边缘密合度;

03解决方案

1、口内应该充分进行清唾、止血等工作,保持口内干燥;

2、如遇到牙龈大范围修整或损伤,建议等待牙龈恢复后择期扫描,或使用排龈膏;

3、排龈线覆盖边缘


01存在问题

排龈线压入不彻底或牙龈回弹压边,无法确定边缘线的位置;

02问题影响

影响技师对边缘终止线的准确判断,从而影响修复体的边缘密合度;

03解决方案

1、选择合适的排龈线型号;

2、应该避免排龈线覆盖肩台,充分露出边缘终止线,确保扫描仪光源能够捕捉到边缘线;

4、边缘被邻牙遮挡

01存在问题

基牙的边缘被邻牙邻面遮盖,修复体无法完整覆盖牙体边缘;

02问题影响

冠与牙体边缘形成台阶,容易引起食物残留;

03解决方案

充分判断边缘暴露情况,针对邻牙倒凹覆盖修复体边缘的情况,需调磨邻牙邻接面;

5、边缘肩台不清

01存在问题

1、基牙制备时操作不当,导致边界分离不清晰;

2、制备体肩台、边缘车针套装使用顺序、类型不适宜;

3、制备后未抛光;

4、患者口内操作环境及可制备程度有限;

02问题影响

就位翘动、边缘空/不贴合;

03解决方案

结合技师建议尝试再次预备/设计临时甲冠完成临床就位及边缘检查,最终完成永久修复;

6、基牙飞边


01存在问题

1、过锐的飞边在扫描时可能被圆钝化,导致边缘不准确;

2、飞边容易受损,导致修复体边缘过长;

02问题影响

1.影响修复体边缘的密合度;

2.修复体无法完全就位,咬合偏高。

03解决方案

1、在制备前做好排龈准备,充分暴露边缘;

2、制备肩台时,选择合适直径的车针,建议车针的直径是肩台宽度的两倍或以上。

口内采取数字化印模时的建议

1、扫描时需处理干净扫描区域血液/唾液,避免其对扫描件精度产生影响;

2、边缘暴露,边缘清晰可见 (齐龈或龈下小于等于0.2mm 需单/双排龈,基牙表面顺滑、无倒凹、无非边);

3、邻牙牙面扫描清晰完整,确保外形高点扫描完整;

4、对颌牙咬合面以及颊舌侧信息足够,并保留适当牙龈组织信息;

5、扫描咬合时检查患者保持牙尖交错位,避免移动;

6、安抚与沟通(让患者放松,提醒其使用鼻腔呼吸);

7、口扫时移开探照灯(避免其他光源对口扫成像造成干扰及误差影响);

8、扫描移动速度与范围平均: 0.5cm~1.0cm /s;

9、取像角度: 颌面呈平行、颊舌侧45°切端唇舌环绕过渡;

10、半口单侧1~2颗修复扫描,取像范围5~7单位,全口单侧、双侧多颗修复扫描取像范围: 10~14单位(咬合不稳定或游离缺失则需要扫描全牙列,从而支撑咬合关系稳定,必要时需附带物理咬合记录);

11、扫描完成后要及时对照口内检查咬合关系,确保咬合关系正确。

12、扫描完成后建议使用口扫设备的倒凹、咬合、边缘绘制等功能,初步筛查数据准确度。

现在,咱们来看看怎样才是一个合格的口扫数据吧!

种植修复

单冠修复

嵌体修复

贴面修复

技术支持:百事通 站点地图  豫ICP备2025152410号-1    豫公网安备41037202000170号